ভিডিও ENG
  1. Home/
  2. ক্যাম্পাস

রাবিতে শিক্ষকের গাড়ির ধাক্কায় পা ভাঙলো ছাত্রীর

বিশ্ববিদ্যালয় প্রতিবেদক | রাবি | প্রকাশিত: ০৩:৪৫ পিএম, ০২ জানুয়ারি ২০২৬

রাজশাহী বিশ্ববিদ্যালয়ে (রাবি) শিক্ষকের গাড়ির ধাক্কায় পা এক ছাত্রীর পা ভাঙার ঘটনা ঘটেছে। বৃহস্পতিবার (১ জানুয়ারি) বিকেলে বিশ্ববিদ্যালয়ের তাপসী রাবেয়া হলের সামনে এ ঘটনা ঘটে। বর্তমানে ওই শিক্ষার্থী রাজশাহী মেডিকেল কলেজ (রামেক) হাসপাতালের অর্থোপেডিক্স ওয়ার্ডে ভর্তি রয়েছেন।

দুর্ঘটনায় আহত মোসা. লিজা আক্তার বিশ্ববিদ্যালয়ের ইতিহাস বিভাগের ২০২২-২৩ শিক্ষাবর্ষের শিক্ষার্থী। তিনি রহমতুন্নেসা হলের আবাসিক শিক্ষার্থী। অন্যদিকে গাড়ির চালক পরিবেশ বিজ্ঞান ইনস্টিটিউটের অধ্যাপক আবুল কালাম আজাদ।

প্রত্যক্ষদর্শী ও প্রশাসন সূত্রে জানা যায়, বিকেল ৩টার দিকে ক্যাম্পাস থেকে ছাত্রী হলের সামনের রাস্তার পূর্বপাশ দিয়ে নিজ হলের দিকে ফিরছিলেন লিজা। তাপসী রাবেয়া হলের সামনে পৌঁছালে বিপরীত পার্শ্ব থেকে আসা একটি ব্যক্তিগত গাড়ি তাকে ধাক্কা দেয়। পরে ঘটনাস্থল থেকে কয়েকজন শিক্ষার্থী তাকে বিশ্ববিদ্যালয়ের চিকিৎসা কেন্দ্রে নিয়ে যান। সেখান থেকে তাকে রামেক হাসপাতালে পাঠানো হয়।

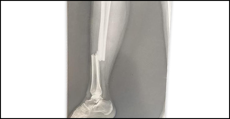
চিকিৎসার বিষয়ে রামেক হাসপাতালের জরুরি বিভাগের ভারপ্রাপ্ত কর্মকর্তা ডা. শংকর কুমার বিশ্বাস বলেন, বিকেল ৫টার দিকে আহত অবস্থায় ওই শিক্ষার্থীকে নিয়ে আসেন। পরে তাকে অর্থোপেডিক্সের ১ নম্বর ওয়ার্ডে ভর্তি করা হয়েছে। তার পায়ে একটি জায়গা ভেঙে গেছে।

এ বিষয়ে জানতে চাইলে বিশ্ববিদ্যালয়ের প্রক্টর অধ্যাপক মাহবুবর রহমান বলেন, শিক্ষার্থী লিজার ক্যাম্পাস থেকে হলে ফেরার পথে আমাদেরই এক শিক্ষকের ব্যক্তিগত গাড়ির সঙ্গে ধাক্কা লাগে। পরবর্তীতে ওই শিক্ষার্থীকে বিশ্ববিদ্যালয় চিকিৎসা কেন্দ্রে নেওয়া হয়। সেখান থেকে উচ্চতর চিকিৎসার জন্য তাকে রামেকে নেওয়া হয়েছে। এক্সরে রিপোর্ট অনুযায়ী তার পায়ের হাড় ভেঙে গিয়েছে। তাকে রামেকেই ভর্তি করা হয়েছে।

এ বিষয়ে জানতে চেয়ে গাড়ি চালক অধ্যাপক আবুল কালাম আজাদের মুঠোফোনে একাধিকবার কল করা হলেও তিনি রিসিভ করেননি।

মনির হোসেন মাহিন/এমএন/এএসএম